公開日: |更新日:
表参道ヒカリデンタル矯正歯科【表参道】
表参道ヒカリデンタル矯正歯科の口コミ評判
女性の先生で話し易く治療も丁寧
歯列矯正でお世話になっています。
駅から近く院内も清潔に保たれておりとても通いやすいです。
また、女性の先生なので不安な事も話し易く(中略)安心して通っています。
不安や疑問など小さなことも話しやすい
歯列矯正で通っていますが、先生やスタッフの対応が良いです。治療や料金の説明が丁寧で、不安に思っていることや、治療中の疑問など、小さなことも話しやすい雰囲気です。(後略)
女性目線でより美しい歯並びを提案してくれた
(前略)診察室が一つしかないので、とても静かでプライベートが保たれます。いくつかの矯正歯科で悩んでいましたが、女性目線でより美しい歯並びを提案してくださったので、(…)(後略)
以上引用元(EPARK・表参道ヒカリデンタル矯正歯科ページ):https://haisha-yoyaku.jp/bun2sdental/detail/index/id/z200001752/tab/7/
表参道ヒカリデンタル矯正歯科の部分矯正
表参道ヒカリデンタル矯正歯科の部分矯正の費用
408,000円
費用詳細
- カウンセリング0円
- 診察・診断35,000円
- 部分矯正(片顎4~6本)320,000円
- 調整費53,000円
部分矯正の料金についてちょこっとコメント

安い矯正歯科はどこ?
口コミ評判も要チェック!
東京でおすすめの部分矯正歯科【3院】
表参道ヒカリデンタル矯正歯科の部分矯正の治療期間目安(片側のみ)
平均記載なし、最短記載なし、最長記載なし
※部分矯正の治療期間の平均は3ヶ月~1年程度(上下の歯両方の場合含む)と言われています。
表参道ヒカリデンタル矯正歯科の治療内容の詳細
表側矯正や裏側矯正によって対応。前歯の隙間をなくしたり歯並びの軽い凹凸は部分矯正での治療となりますが、全体的な歯並びや噛み合わせによっては全体矯正になるケースもあります。
表参道ヒカリデンタル矯正歯科の注目ポイント
女性目線の対応や提案
表参道ヒカリデンタル矯正歯科の院長は、日本矯正歯科学会認定医。また女性ならではの応対や診療提案をしてくれます。
白を基調にした明るく清潔感あるクリニック
医療機関の内装は白が基調にしているケースが多く見受けられますが、表参道ヒカリデンタル矯正歯科ではインテリアや備品なども含めて白でとりまとめていて、大きな窓からの採光と相まって、明るく清潔感のある空間になっています。
歯科用3次元CTを導入、インプラントや審美歯科にも対応
診断には歯科用3次元CTを活用して、口腔内を立体映像でしっかり把握することができます。矯正歯科だけでなく、インプラントや審美歯科にも対応しているので、状態や希望に合わせた治療方法の相談ができるでしょう。
表参道ヒカリデンタル矯正歯科の治療事例
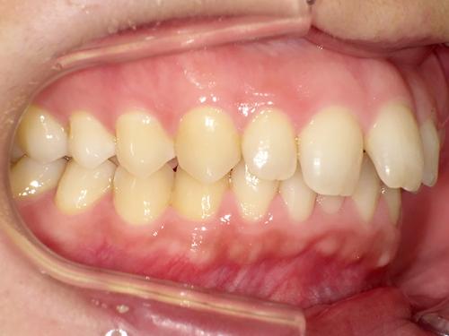
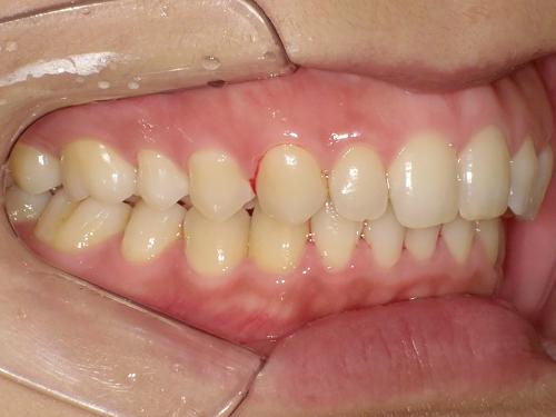
前歯の隙間矯正
Before

After

施術内容
前歯の隙間を閉じる際には、前歯ができるだけ内側に下がるようにコントロールしながら力を加えて治療が行われました。治療期間は7ヶ月です。
| 治療費 | 240,000円+調整料4,000円×7回 |
|---|---|
| 治療等の主な副作用・リスク | 歯根吸収:矯正による力の影響で、歯の根が少しずつ短くなってしまうことがあります。進行すると歯の安定性に影響する可能性があります。 歯肉退縮:歯の移動により、歯茎が下がって歯の根元が見えるようになることがあります。見た目の変化や知覚過敏を引き起こすこともあります。 アンキローシス:歯とその周囲の骨が癒着してしまい、矯正の力を加えても歯が動かなくなる状態です。治療計画に影響を与える可能性があります。 歯髄壊死:矯正の刺激などにより、歯の神経が損傷し、機能を失ってしまうことがあります。場合によっては根管治療が必要になることもあります。 顎関節症:噛み合わせの変化や顎への負担により、顎の関節に痛みや違和感、開閉時の音などが現れることがあります。 |
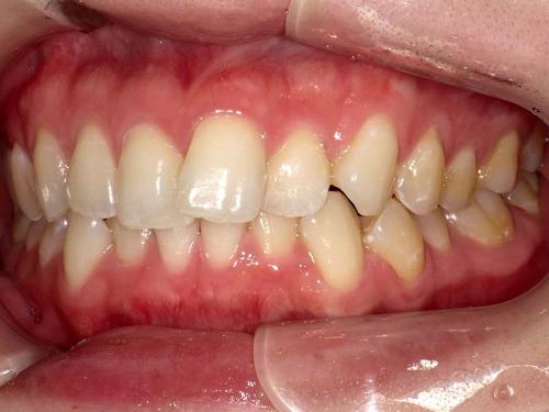
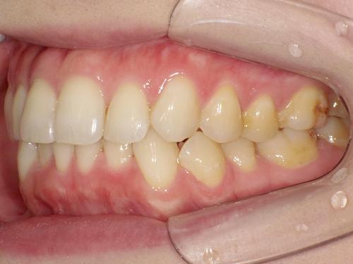
前歯のガタガタを矯正した例
Before

After

施術内容
7ヶ月の間、前歯のバランスにアプローチした治療例です。下の前歯が上の装置に接触してしまうため、治療中は噛み合わせの高さを一時的に調整し、装置に当たらないよう配慮しながら治療が進められました。また、一部の歯には、歯と歯の間をわずかに削るIPR(ディスキング)を行っています。
| 治療費 | 320,000円+調整料4,000×12回 |
|---|---|
| 治療等の主な副作用・リスク | 歯根吸収:矯正による力の影響で、歯の根が少しずつ短くなってしまうことがあります。進行すると歯の安定性に影響する可能性があります。 歯肉退縮:歯の移動により、歯茎が下がって歯の根元が見えるようになることがあります。見た目の変化や知覚過敏を引き起こすこともあります。 アンキローシス:歯とその周囲の骨が癒着してしまい、矯正の力を加えても歯が動かなくなる状態です。治療計画に影響を与える可能性があります。 歯髄壊死:矯正の刺激などにより、歯の神経が損傷し、機能を失ってしまうことがあります。場合によっては根管治療が必要になることもあります。 顎関節症:噛み合わせの変化や顎への負担により、顎の関節に痛みや違和感、開閉時の音などが現れることがあります。 |
表参道ヒカリデンタル矯正歯科の医師の紹介
- 院長名/川崎(清水)直子 医師
- 所属学会/日本矯正歯科学会認定医、東京矯正歯科学会、舌側矯正歯科学会、アメリカ矯正歯科学会(AAO)、世界矯正歯科学会
- 院長の部分矯正へのこだわり/自分の歯並びに悩んでいる人に対して、矯正することが悩み解決の一助になると知ってもらうために、その人に合うナチュラルな歯並びになるよう取り組む
表参道ヒカリデンタル矯正歯科の医院情報
- 所在地/東京都港区北青山3-6-23 青山ダイハンビル4F
- アクセス/東京メトロ「表参道」駅徒歩1分
- 診療時間/12:00~15:00、16:00~19:30、土10:00~13:00、14:30~18:00
- 休診日/日・月・祝
- 電話番号/0800-777-4187
安い矯正歯科はどこ?
口コミ評判も要チェック!
東京でおすすめの部分矯正歯科【3院】
部分矯正歯科医院【3院】
Googleで「部分矯正 東京」と検索して公式サイトが表示されたクリニック50院から、「最寄り駅から6分以内の距離にある」「夜間診療がある(19:00以降)」「午前中も診療可能」「休日診療がある(土日いずれか)」「公式サイトに部分矯正の症例が10件以上掲載されている」を満たす歯科医院をリサーチ。これらの条件をクリアしたクリニック3院を紹介します。(2023年7月21日調査時点)
-
アクセス
庚申塚駅から
徒歩1分夜間診療
19:30まで
※木・金休日診療
土日も
診療可- 前歯(6本)の部分矯正の費用目安
- 201,500円~(※2)
-
はらだ歯科クリニック
アクセス
蒲田駅から
徒歩6分夜間診療
19:00まで
※平日のみ休日診療
土・日・祝
診療可- 前歯(6本)の部分矯正の費用目安
- 226,600円~(※3)
-
アクセス
麻布十番駅から
徒歩2分夜間診療
20:00まで
※水曜のみ休日診療
土曜のみ
診療可- 前歯(6本)の部分矯正の費用目安
- 253,000円~(※4)
【費用について】
- (※1)前歯(6本)の部分矯正の費用目安は【初診料+検査・診断料+装置代金+通院中の装置調整料(月1回×6か月)】で算出しています。ただし、部分矯正の費用や治療にかかる期間は、矯正装置の種類、口の中の状態、抜歯の有無によって異なりますので、詳細はクリニックに問い合わせてください。
- (※2)たつや歯科の費用目安には、初診料・カウンセリング・口腔内検査3,500円程度+前歯(6本)の表側・ワイヤー部分矯正198,000円(1本あたり33,000円)が含まれています。通院中の装置調整料、通院中のクリーニング、ホワイトワイヤーへの変更、保定装置は無料です。
参照:https://www.bubun-kyousei.jp/flow.html
- (※3)はらだ歯科クリニックの費用目安には、相談料1,100円+精密検査11,000円+保定装置料16,500円+部分矯正165,000円+通院中の処置費用33,000円(都度5,500円×月1回×6か月で計算)が含まれています。
参照:https://harada-shika.jp/price/#correct-adult
- (※4)UC矯正歯科クリニック麻布十番の費用目安には、精密検査・診断費55,000円+片顎の表側・ワイヤー部分矯正165,000円+通院中の装置調整料33,000円(都度5,500円×月1回×6か月で計算)が含まれています。初診料・相談料は無料です。
参照:https://www.uc-ortho.com/price/
※掲載されている料金は2025年4月21日調査時点の料金となっています。
インビザラインは、厚生労働省・未承認医療機器です。日本の矯正治療では医師の責任のもとに使用されます。また、インビザラインは薬機法の承認を受けていない矯正歯科装置のため、医薬品副作用被害救済制度の対象外です。その他の矯正治療も、健康保険(公的医療保険)対象外となりますのでご注意ください。インビザラインの入手経路については、各クリニックによって異なります。詳細は各クリニックへ直接お問い合わせください。日本国内で製作されている類似のマウスピース矯正装置のいくつかは、薬事承認を受けています。
当サイトに掲載されている治療には、インビザライン以外にも未承認医薬品または医療機器を用いた施術が含まれる場合があります。治療に使用される医療機器の入手経路はクリニックによって異なるため、詳細についてはクリニックに直接お問い合わせください。施術を受ける際には、医師によく相談して、納得した上で受けるようにしましょう。これまでに、900万人以上(2020年10月時点)の方がインビザライン・システムを用いた治療を受けています。
※参照元:インビザライン・ジャパン株式会社(https://www.invisalign.co.jp/)

