公開日: |更新日:
しらゆり歯科【東京駅前・銀座】
しらゆり歯科の口コミ評判
急な来院にも対応してくれる柔軟性あり
(前略)前歯の差し歯、ブリッジ、歯茎移植、奥歯の虫歯治療等を受けたことがありますが、治療前の説明が丁寧で治療自体も迅速かつ丁寧です。
また、アフターケアについても急な来院にも対応いただける柔軟性もあります。(後略)
待ち時間が短く、対応も早くて丁寧
間違えて銀座しらゆり歯科に行ってしまった際、受付のお姉さんが速やかに東京駅前の方へ連絡を入れてくれました。待ち時間も短く、対応も早いかつ丁寧でまた行きたいと思いました。
矯正の流れをわかりやすく説明してくれた
歯列矯正のカウンセリングで伺わせて頂きました。矯正の流れをわかりやすく説明され概ね親切に対応してくださったと思います。
以上引用元(EPARK・東京駅前しらゆり歯科ページ):https://haisha-yoyaku.jp/bun2sdental/detail/index/id/TP00285001/tab/7/
しらゆり歯科の部分矯正
しらゆり歯科の部分矯正の費用
公式HPに記載がありませんでした。
部分矯正の料金についてちょこっとコメント

安い矯正歯科はどこ?
口コミ評判も要チェック!
東京でおすすめの部分矯正歯科【3院】
しらゆり歯科の部分矯正の治療期間目安(片側のみ)
平均記載なし、最短記載なし、最長記載なし
※部分矯正の治療期間の平均は3ヶ月~1年程度(上下の歯両方の場合含む)と言われています。
しらゆり歯科の治療内容の詳細
従来からあるワイヤー矯正と、マウスピース矯正に対応。ワイヤー矯正では表側・裏側の両方に対応し、表側矯正では目立ちにくい白色の装置を採用、裏側矯正ではフルリンガルとハーフリンガルを症例によって使い分けています。
しらゆり歯科の注目ポイント
オペ専用室やデジタル機材など設備が充実
しらゆり歯科ではインプラントも行っているため衛生管理がしっかりしたオペ専用室があります。また、デジタル3DCTや光学3Dスキャナーを導入して、スピーディーかつ精微な診断を可能としています。
総額費用を事前にきちんと提示
矯正治療の場合、治療だけでなく調整なども含めると総費用がいくらになるのか気になるところ。しらゆり歯科では総額費用を治療開始前にきちんと提示して、追加費用はかからないのが安心です。
予防や審美歯科、ホワイトニングなどにも対応
しらゆり歯科は予防歯科からセラミック治療をはじめとする審美歯科、ホワイトニングなど総合的な歯科治療を行っています。
しらゆり歯科の治療事例
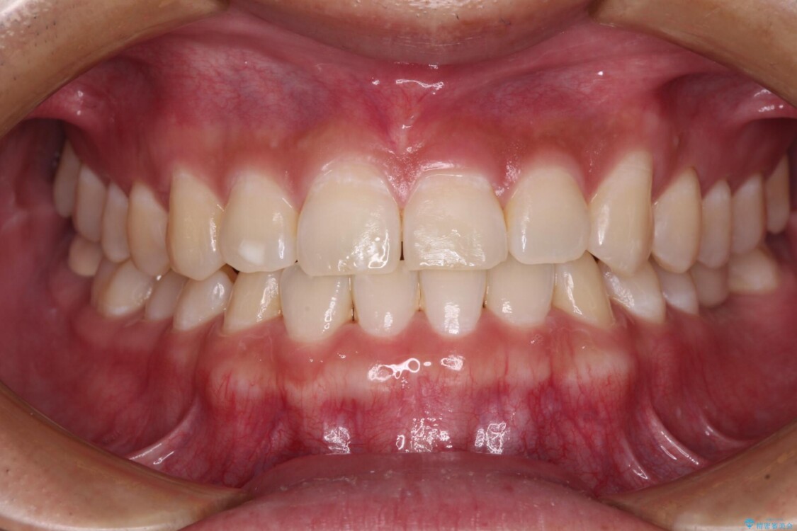
下顎の部分矯正と上顎のオールセラミッククラウンをした例
Before

After

施術内容
治療期間4ヶ月の事例です。上下の歯列全体はおおむね整っており、全体的な矯正治療は必要ないと判断されました。ただし、下顎前歯に軽度の叢生(歯並びの乱れ)が見られ、1本の歯が外側に突出していたため、その影響で上顎前歯の1本にもわずかな捻じれが生じていました。
下顎前歯の乱れについては部分矯正を行い、約3か月で整える治療計画が立てられています。
また、捻れていた上顎前歯には大きな虫歯が確認されたため、下顎の矯正治療完了後に、オールセラミッククラウンによる補綴治療を実施し、審美性と機能性の両面から改善を図ることとなりました。
| 治療費(概算) | 25万円(※費用は治療当時の料金) |
|---|---|
| 治療等の主な副作用・リスク | お口の状態によっては適応できない場合があります:歯並びや噛み合わせ、口腔内の状態によっては、マウスピース型矯正装置による治療が難しいことがあります。 マウスピースの長時間装着が必要です:効果的な治療のためには、1日20時間以上など、指定された時間の装着が必須です。装着時間が短いと治療が計画通りに進まない可能性があります。 患者様ご自身の協力が重要です:治療計画に沿ってスムーズに進めるためには、装置の使用や通院などに対するご本人の意志と協力度が大きく影響します。 保定が不十分な場合は後戻りする可能性があります:治療完了後にリテーナー(保定装置)を適切に使用しないと、歯が元の位置に戻ろうとする「後戻り」が起こる可能性があります。 自費診療となります:この治療は健康保険の適用外で、すべて自費でのご負担となります。 薬機法の対象外製品について:一部のマウスピース型矯正装置は薬機法(旧薬事法)対象外であり、その場合、万一の副作用があっても「医薬品副作用被害救済制度」の補償対象外となる可能性があります。 |
上顎の部分矯正をした例
Before

After

施術内容
下顎前歯に叢生(歯並びの乱れ)が見られましたが、患者自身は特に気にされていない様子でした。
また、下顎の奥歯にはすでにインプラントによる補綴治療が施されており、全顎矯正を行う場合は既存のクラウンの再製作が必要になることが説明されています。
そのため、今回はワイヤー矯正装置を使用し、上顎のみを対象とした部分的な矯正治療を行う方針となりました。治療期間は1年1ヶ月です。
| 治療費(概算) | 50万円(※費用は治療当時の料金) |
|---|---|
| 治療等の主な副作用・リスク | 治療中の違和感や痛みについて:矯正装置による歯の移動にともない、装着初期や調整後に一時的な違和感や痛みを感じることがあります。 抜歯が必要となる場合があります:歯の重なりや顎の大きさとのバランスによっては、治療効果を高めるために抜歯を行うことがあります。 口腔内の衛生管理が難しくなります:矯正装置の影響で歯磨きがしづらくなり、虫歯や歯周病のリスクが高まるため、丁寧なブラッシングや定期的なクリーニングが重要です。 保定が不十分な場合の後戻り:治療終了後に保定装置(リテーナー)を正しく使用しないと、歯が元の位置に戻ろうとする「後戻り」が起こる可能性があります。 自由診療(保険適用外)です:本治療は健康保険の対象外となるため、治療費は全額自己負担となります。 |
しらゆり歯科の医師の紹介
- 院長名/河野裕二 医師
- 所属学会/日本顎咬合学会会員、日本成人矯正歯科学会、口腔インプラント学会会員
- 院長の部分矯正へのこだわり/医療法人精密審美会グループのコンセプトである精密歯科診療と総合歯科診療を実践、患者の満足度向上に取り組む
しらゆり歯科(東京駅前しらゆり歯科)の医院情報
- 所在地/東京都中央区日本橋3-3-11 第一中央ビル2F
- アクセス/JR「東京」駅徒歩3分、東京メトロ「日本橋」駅徒歩5分、東京メトロ「京橋」駅徒歩6分、都営浅草線「日本橋」駅徒歩8分
- 診療時間/11:00~13:00、14:30~20:00、土・日10:00~13:00、14:30~18:00
- 休診日/記載なし
- 電話番号/03-3231-0777
安い矯正歯科はどこ?
口コミ評判も要チェック!
東京でおすすめの部分矯正歯科【3院】
部分矯正歯科医院【3院】
Googleで「部分矯正 東京」と検索して公式サイトが表示されたクリニック50院から、「最寄り駅から6分以内の距離にある」「夜間診療がある(19:00以降)」「午前中も診療可能」「休日診療がある(土日いずれか)」「公式サイトに部分矯正の症例が10件以上掲載されている」を満たす歯科医院をリサーチ。これらの条件をクリアしたクリニック3院を紹介します。(2023年7月21日調査時点)
-
アクセス
庚申塚駅から
徒歩1分夜間診療
19:30まで
※木・金休日診療
土日も
診療可- 前歯(6本)の部分矯正の費用目安
- 201,500円~(※2)
-
はらだ歯科クリニック
アクセス
蒲田駅から
徒歩6分夜間診療
19:00まで
※平日のみ休日診療
土・日・祝
診療可- 前歯(6本)の部分矯正の費用目安
- 226,600円~(※3)
-
アクセス
麻布十番駅から
徒歩2分夜間診療
20:00まで
※水曜のみ休日診療
土曜のみ
診療可- 前歯(6本)の部分矯正の費用目安
- 253,000円~(※4)
【費用について】
- (※1)前歯(6本)の部分矯正の費用目安は【初診料+検査・診断料+装置代金+通院中の装置調整料(月1回×6か月)】で算出しています。ただし、部分矯正の費用や治療にかかる期間は、矯正装置の種類、口の中の状態、抜歯の有無によって異なりますので、詳細はクリニックに問い合わせてください。
- (※2)たつや歯科の費用目安には、初診料・カウンセリング・口腔内検査3,500円程度+前歯(6本)の表側・ワイヤー部分矯正198,000円(1本あたり33,000円)が含まれています。通院中の装置調整料、通院中のクリーニング、ホワイトワイヤーへの変更、保定装置は無料です。
参照:https://www.bubun-kyousei.jp/flow.html
- (※3)はらだ歯科クリニックの費用目安には、相談料1,100円+精密検査11,000円+保定装置料16,500円+部分矯正165,000円+通院中の処置費用33,000円(都度5,500円×月1回×6か月で計算)が含まれています。
参照:https://harada-shika.jp/price/#correct-adult
- (※4)UC矯正歯科クリニック麻布十番の費用目安には、精密検査・診断費55,000円+片顎の表側・ワイヤー部分矯正165,000円+通院中の装置調整料33,000円(都度5,500円×月1回×6か月で計算)が含まれています。初診料・相談料は無料です。
参照:https://www.uc-ortho.com/price/
※掲載されている料金は2025年4月21日調査時点の料金となっています。
インビザラインは、厚生労働省・未承認医療機器です。日本の矯正治療では医師の責任のもとに使用されます。また、インビザラインは薬機法の承認を受けていない矯正歯科装置のため、医薬品副作用被害救済制度の対象外です。その他の矯正治療も、健康保険(公的医療保険)対象外となりますのでご注意ください。インビザラインの入手経路については、各クリニックによって異なります。詳細は各クリニックへ直接お問い合わせください。日本国内で製作されている類似のマウスピース矯正装置のいくつかは、薬事承認を受けています。
当サイトに掲載されている治療には、インビザライン以外にも未承認医薬品または医療機器を用いた施術が含まれる場合があります。治療に使用される医療機器の入手経路はクリニックによって異なるため、詳細についてはクリニックに直接お問い合わせください。施術を受ける際には、医師によく相談して、納得した上で受けるようにしましょう。これまでに、900万人以上(2020年10月時点)の方がインビザライン・システムを用いた治療を受けています。
※参照元:インビザライン・ジャパン株式会社(https://www.invisalign.co.jp/)

